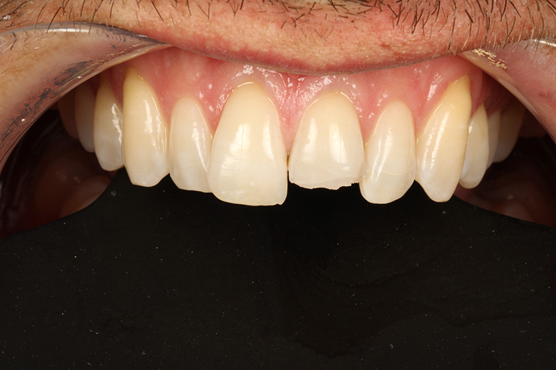
Emergency Appointments
We know dental emergencies can occur unexpectedly, causing discomfort and stress. At Glebe Hill Dental, we prioritise emergency appointments, offering prompt and compassionate care when you need it most. Whether you’re experiencing toothache, a broken tooth, or other urgent issues, our caring team is ready to provide quick relief, gentle treatment, and peace of mind.
Experiencing a dental emergency? Contact us immediately, and we’ll ensure you receive prompt and comfortable care.

Before

